Cleveland Clinicಪರಿಶೀಲಿಸಿದ ಖಾತೆ

@ClevelandClinic

Get the latest consumer health news and tips to stay healthy from 1 of the country's . Meet the caregivers who are transforming healthcare.

Cleveland, Ohio
ಮಾರ್ಚ್ 2009 ಸಮಯದಲ್ಲಿ ಸೇರಿದ್ದಾರೆ
1921 ರಲ್ಲಿ ಜನನ

@ClevelandClinic ತಡೆಹಿಡಿಯಲಾಗಿದೆ

ನೀವು ಖಚಿತವಾಗಿಯೂ ಈ ಟ್ವೀಟ್‌ಗಳನ್ನು ನೋಡಲು ಬಯಸುವಿರಾ? ಟ್ವೀಟ್‌ಗಳನ್ನು ನೋಡುವುದು @ClevelandClinic ಅವರನ್ನು ತಡೆತೆರವುಗೊಳಿಸುವುದಿಲ್ಲ.

  1. Kale is great, but variety in your veggies is better, says . Don't forget about broccoli, beets and Brussels sprouts.

  2. Guys, we know you don't like the doctor, but these are 2 things you don't want to ignore

  3. If smoothies are among your favorite hot-weather treats, remember that you can have too much of a good thing — the sugar adds up quickly.

  4. Help heal your stye by placing a warm, clean, damp cloth on it for 5-15 minutes a few times a day.

  5. If you pop these 5 vitamins as pills, you could be overdoing it

  6. .’s "organic" label means animals were never given antibiotics or hormones.

  7. We know it's tempting, but fried chicken is among the worst foods you can choose at a summer picnic.

  8. Color can influence your eating. Study shows that people who use red plates tend to eat less

  9. Sex may account for more infections than experts initially thought, reports

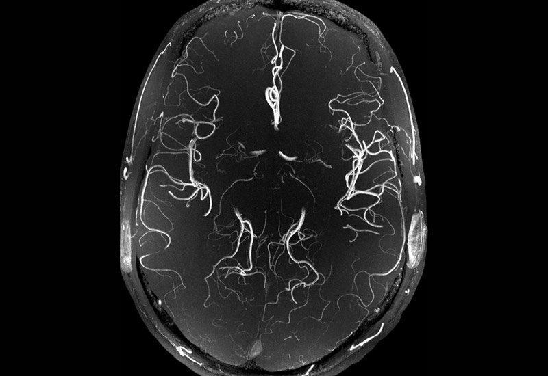
  10. This magnetic resonance angiography – a type of MRI that looks at blood vessels – shows a healthy brain.

  11. . explains why "removing stuff" is the right strategy for 's

  12. Researchers expect that, as the population gets older, the number of people who are visually impaired or blind will double by 2050.

  13. A small country in the Middle East is now home to some of the most advanced heart procedures in the world

  14. If smoothies are among your favorite hot-weather treats, remember that you can have too much of a good thing — the sugar adds up quickly.

  15. Studies have shown that people who eat from red plates eat less. Encourage healthy eating by going green!

  16. New legislation hopes to make home-based Medicare program permanent. How visits cut costs

    ಮತ್ತು
  17. US Senator Portman praises 's Center for Connected Care House Calls program; Introduces bill.

  18. Sorry, not sorry. That fried chicken is among the worst foods you can choose. Opt for lean protein at your picnic.

  19. Sex may account for more infections than experts initially thought, reports

ಲೋಡಿಂಗ್ ಸಮಯ ಸ್ವಲ್ಪ ತೆಗೆದುಕೊಳ್ಳುತ್ತಿರುವಂತೆನಿಸುತ್ತದೆ.

Twitter ಸಾಮರ್ಥ್ಯ ಅಧಿಕವಾಗಿರಬಹುದು ಅಥವಾ ಈ ಕ್ಷಣದ ತೊಂದರೆಯನ್ನು ಅನುಭವಿಸುತ್ತಿರಬಹುದು. ಮತ್ತೆ ಪ್ರಯತ್ನಿಸಿ ಅಥವಾ ಇನ್ನಷ್ಟು ಮಾಹಿತಿಗೆ Twitter ಸ್ಥಿತಿ ಗೆ ಭೇಟಿ ನೀಡಿ.

    ಇದನ್ನೂ ಸಹ ನೀವು ಇಷ್ಟಪಡಬಹುದು

    ·